A Family of Care
Enter our office and become a part of a family that makes you feel valued and welcomed.

With Dr. Lauren Van Gemert, getting your dream smile is effortless, accessible, and suitable for family members of all ages.
Learn More

"Making people smile is my passion. Having the opportunity to work with so many unique people through my practice is a blessing for which I am very thankful.
I love that I can use my expertise to give people confidence in the way they look and feel. Most of all, I love to make people smile!"
Learn MoreDr. Lauren was by far the best choice I could have made for both my girls' teeth. She is extremely knowledgeable and dedicated to giving my girls beautiful teeth. Can't express enough how thankful I am for Dr. Lauren and her team.
Dr. Lauren is so friendly and kind, she always has a solution for everything and has our best interests in mind. I would recommend ismile because the front office is amazing, everything is done in a timely matter, and they are very flexible and understanding!
Awesome staff!! My son was a little apprehensive about his first appointment, and they made us feel very welcome! When the second appointment came around, he was actually excited to go!
Dr. Lauren was by far the best choice I could have made for both my girls' teeth. She is extremely knowledgeable and dedicated to giving my girls beautiful teeth. Can't express enough how thankful I am for Dr. Lauren and her team.
We love Dr. Lauren and iSmile Orthodontics! They have been wonderful with my daughter every time we’ve been in. They explain things and are willing to spend a little extra time when needed!
iSmile Orthodontics is proud to have our office in Spokane. Dr. Lauren provides expert orthodontic care for all ages to make sure your family experiences the joy of a healthy, beautiful smile.
Learn More
Dr. Lauren recommends an orthodontic evaluation by age seven, as advised by the American Association of Orthodontists. Schedule a free consultation today — no referral is necessary.

The teenage years are the optimal time for orthodontic treatment so that Dr. Lauren can take advantage of natural growth for the best results.

Achieve the smile you've always wanted. More adults than ever are beginning their orthodontic journey with us, and it's never too late to start.
Learn MoreGet started in three easy steps!

Come to a free exam with Dr. Van Gemert to talk about your smile goals.

You’ll get some digital photos and X-rays taken. Don’t worry, they’re painless!

Save time and start your braces or Invisalign at your first visit. Get started today!
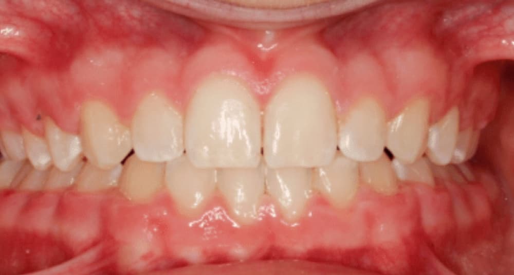
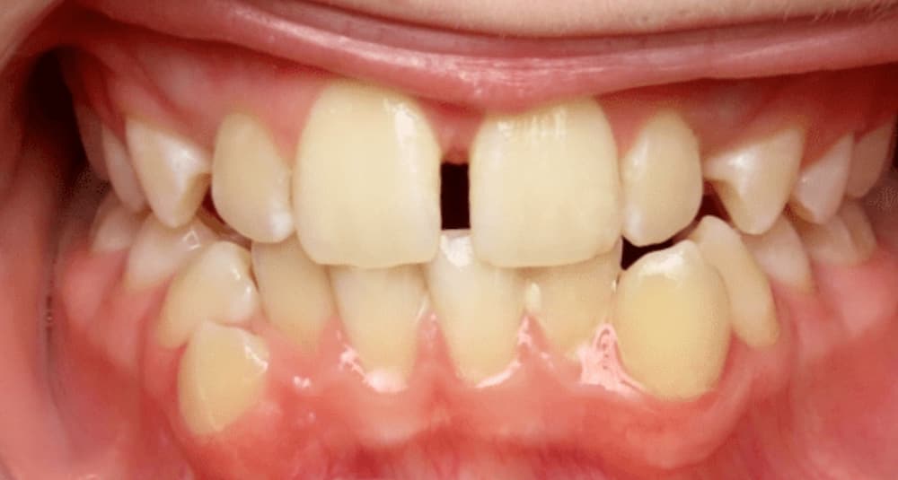
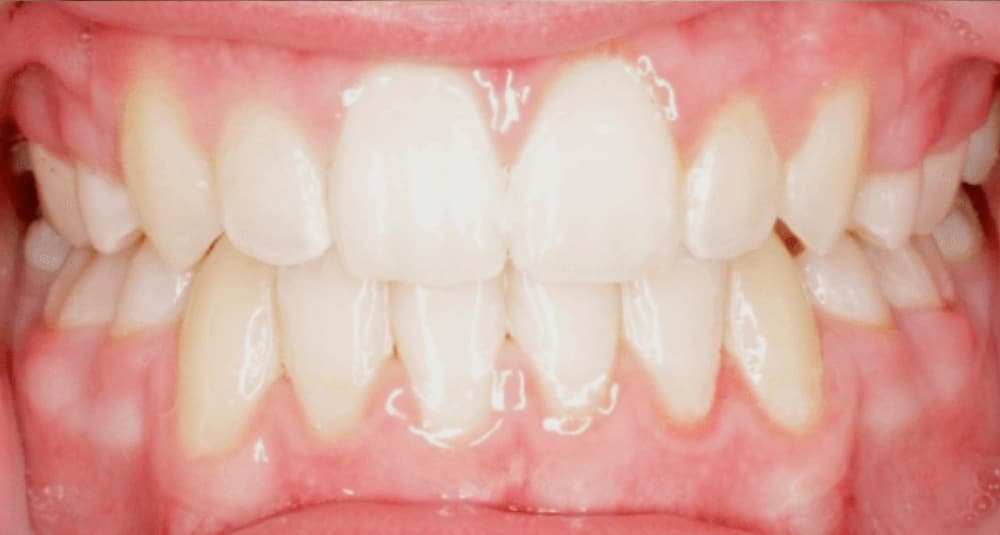
At iSmile Orthodontics, each smile we craft shows a personal journey. Explore the transformative before and after photos of our patients, expertly treated by Dr. Lauren and our skilled team. We proudly offer a range of treatments, including braces and Invisalign, to patients of all ages in Spokane.
View All




